Occlusion profonde : comprendre et corriger ce problème dentaire

4

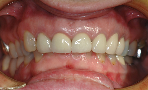
Qu’est-ce que l’occlusion profonde ?

 

L’occlusion profonde est un problème d’alignement dentaire dans lequel les dents du haut recouvrent excessivement celles du bas. Ce décalage peut créer des espaces inesthétiques, gêner la mastication et, à long terme, provoquer une usure prématurée des dents.

Les conséquences d’une occlusion profonde

Apparition d’espaces entre les dents.

Difficultés à mordre ou mâcher correctement.

Risque accru d’usure dentaire et de douleurs articulaires.

Impact esthétique sur le sourire et le visage.

Les aligneurs transparents : une solution moderne

Les aligneurs transparents représentent une méthode efficace et discrète pour traiter l’occlusion profonde.

- Ils déplacent progressivement les dents afin de fermer les espaces.

-Ils améliorent l’alignement sans recourir aux bagues métalliques.

-Ils offrent confort et esthétique au quotidien, car ils sont pratiquement invisibles et amovibles.

A bright cheerful portrait of a young wo xEfRR6OMRsmOxPp xNh Tg KJi2U02fTTq7whIYQzTgXw 1024x683
A bright cheerful portrait of a young wo xEfRR6OMRsmOxPp xNh Tg KJi2U02fTTq7whIYQzTgXw 1024x683

Les conséquences d’une occlusion profonde

Apparition d’espaces entre les dents.

Difficultés à mordre ou mâcher correctement.

Risque accru d’usure dentaire et de douleurs articulaires.

Impact esthétique sur le sourire et le visage.

Les aligneurs transparents : une solution moderne

Les aligneurs transparents représentent une méthode efficace et discrète pour traiter l’occlusion profonde.

- Ils déplacent progressivement les dents afin de fermer les espaces.

-Ils améliorent l’alignement sans recourir aux bagues métalliques.

-Ils offrent confort et esthétique au quotidien, car ils sont pratiquement invisibles et amovibles.